Skapa konto

Selektiv och icke-selektiv kariesexkavering utan pulpalesion

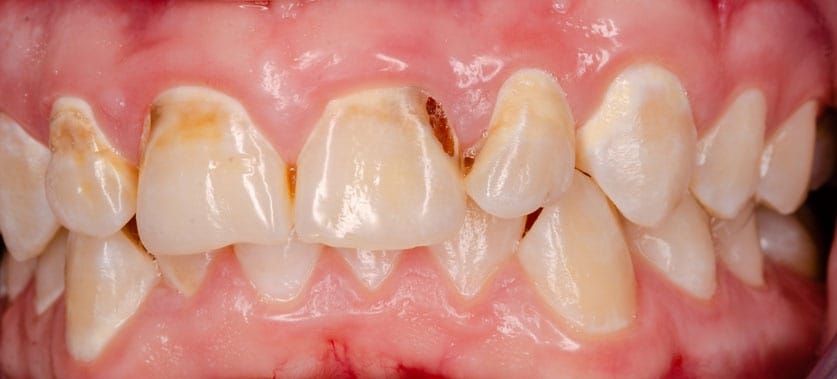
Karies uppstår vid en mikrobiell obalans i munnen, där syror bryter ner tandens vävnader. Behandlingen beror på lesionens djup och inkluderar selektiv eller stegvis exkavering. Målet är att bevara tandens vitalitet och minimera pulpaläsioner, med moderna material som kalciumsilikatcement.

Faktabladets innehåll

    BAKGRUND

    Karies kan beskrivas som en obalans i munhålans normala mikrobiologiska ekosystem. Lokala förändringar i miljön och på den enskilda tandytan gör att munhålans normalflora skiftar till en patogen flora. Utveckling av infektionssjukdomen karies är ett resultat av mikrobiellt producerad syra som bryter ner tandens hårdvävnad. Kariesangreppet börjar i emaljen, eller i cementet om tandens rot är angripen. Detta följs av vävnadsförändringar i primär-/sekundärdentinet och inflammatoriska reaktioner i pulpan, samt eventuellt bildandet av nytt tertiärdentin i pulpakavum.

    Om det uppkommer en kavitet i dentinet i anslutning till emaljen, kommer denna kavitet att ge utrymme för en ny ekologisk förändring som leder till ökad kariesaktivitet.

    Hela tanden har ett komplicerat reaktionsmönster som motsvarar progressionsstadiet, vilket bland annat innebär att dentin och pulpavävnad tidigt reagerar på karies i emalj, och att det ses tecken på en läkningsreaktion i pulpan när karies progredierar långsamt.

    I det här faktabladet fokuseras det primärt på en kariesskada där exkavering kan utföras utan pulpalesion.

    Exkavering utan lesion till pulpan innebär att man bibehåller en intakt biologisk hårdvävnadsbarriär mot pulpan och att man har goda möjligheter att förhindra irreversibel pulpit.

    Vi har digitala kurser inom Cariologi

    Se kursen på Tandakademin!

    INDIKATION

    Operativ kariesterapi ska utföras om olika förebyggande åtgärder har misslyckats med att förhindra kavitetsbildning, eller om kariesskadan är så avancerad att den kariogena biofilmen inte kan kontrolleras utan att behöva eliminera och ändra det patogena ekosystemet operativt.