Skapa konto

Kariesexkavering till pulpalesion i permanenta tänder

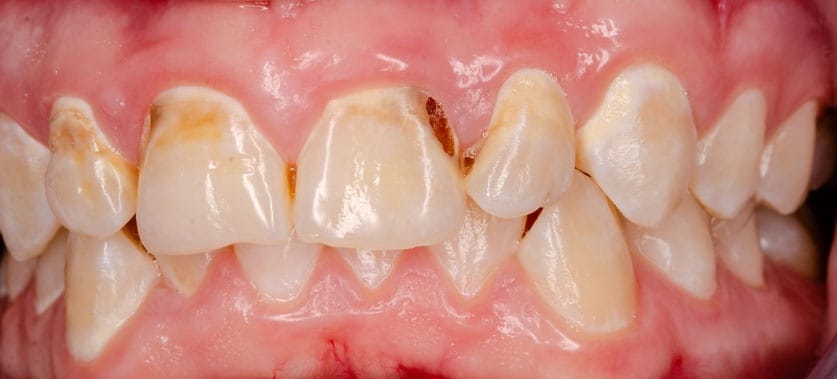
Karies är en infektionssjukdom där mikrobiellt producerad syra bryter ner tandens vävnader. Vid djup karies krävs noggrann diagnostik för att avgöra behandling, som kan inkludera överkappning, pulpotomi eller rotbehandling. Material som kalciumsilikatcement används ofta för bättre prognos.

Faktabladets innehåll

    BAKGRUND

    Karies kan beskrivas som en obalans i munhålans normala mikrobiolgiska ekosystem, där normalfloran skiftar till en patogen flora. Utveckling av infektionssjukdomen karies är ett resultat av mikrobiellt producerad syra som bryter ned tandens hårdvävnad. Utvecklingen börjar i emaljen, eller i cementet om tandens rot är inblandad. Detta följs av vävnadsförändringar i primär-/sekundärdentinet och inflammatoriska reaktioner i pulpan samt eventuellt bildandet av nytt tertiärdentin i pulpakavum.

    Om det uppkommer en klinisk kavitet i dentinet i anslutning till emaljen, kommer denna kavitet att ge utrymme för en ny ekologisk förändring som leder till ökad kariesaktivitet. Hela tanden har ett komplicerat reaktionsmönster med ökande progressionsstadier, vilket bland annat innebär att dentin och pulpavävnad tidigt reagerar på karies i emalj, men det är först ganska sent som pulpavävnaden genomgår verkliga irreversibla förändringar. Det är lämpligt att dela upp den djupa karieslesionen radiologiskt i 3 stadier (DL1-3). DL 1 kännetecknas av ett inträngningsdjup motsvarande 2/3-3/4 av dentinet tjocklek. Vid DL 2 har karies penetrerat djupare in än ¾ av dentinets tjocklek, men det finns fortfarande en radiopak zon mellan karieslesionen och pulpan. Vid DL 3 har karies lesionen radiologiskt kontakt med pulpan. 

    DL 1 och 2 har låg sannolikhet för faktisk bakteriell närvaro i pulpan, medan risken för bakteriell penetration i tertiärt dentin och pulpa är mycket hög vid DL 3 lesioner.

    I detta faktablad fokuseras det primärt på kariesskador då exkavering genomförs till pulpalesion, och flera situationer är möjliga.

    Vi har digitala kurser inom Cariologi

    Se kursen på Tandakademin!

    PULPADIAGNOS

    Beslut om huruvida medveten exkavering till lesion ska utföras ska baseras på en klinisk pulpadiagnos och en röntgenologisk bedömning av kariesskadans utbredning. Eftersom det inte finns några icke-invasiva diagnostiska metoder för att objektivt bedöma om pulpan är irreversibelt inflammerad eller inte så ställs diagnos med hjälp av indirekta metoder. En sammanvägning görs av patientens beskrivning av de subjektiva symtomen, en objektiv undersökning av pulpans sensibilitet och en röntgenologisk utvärdering av det apikala parodontiet för att ställa diagnos.