Bildgalleri över orala slemhinneförändringar
Bildgalleri över orala slemhinneförändringar. Oral cancer, hematologiska sjukdomar, afte och afteliknande lesioner, traumatiska sår, oral lichen planus, leukoplaki, lichenoida kontaktreaktioner med mera
Faktabladets innehåll
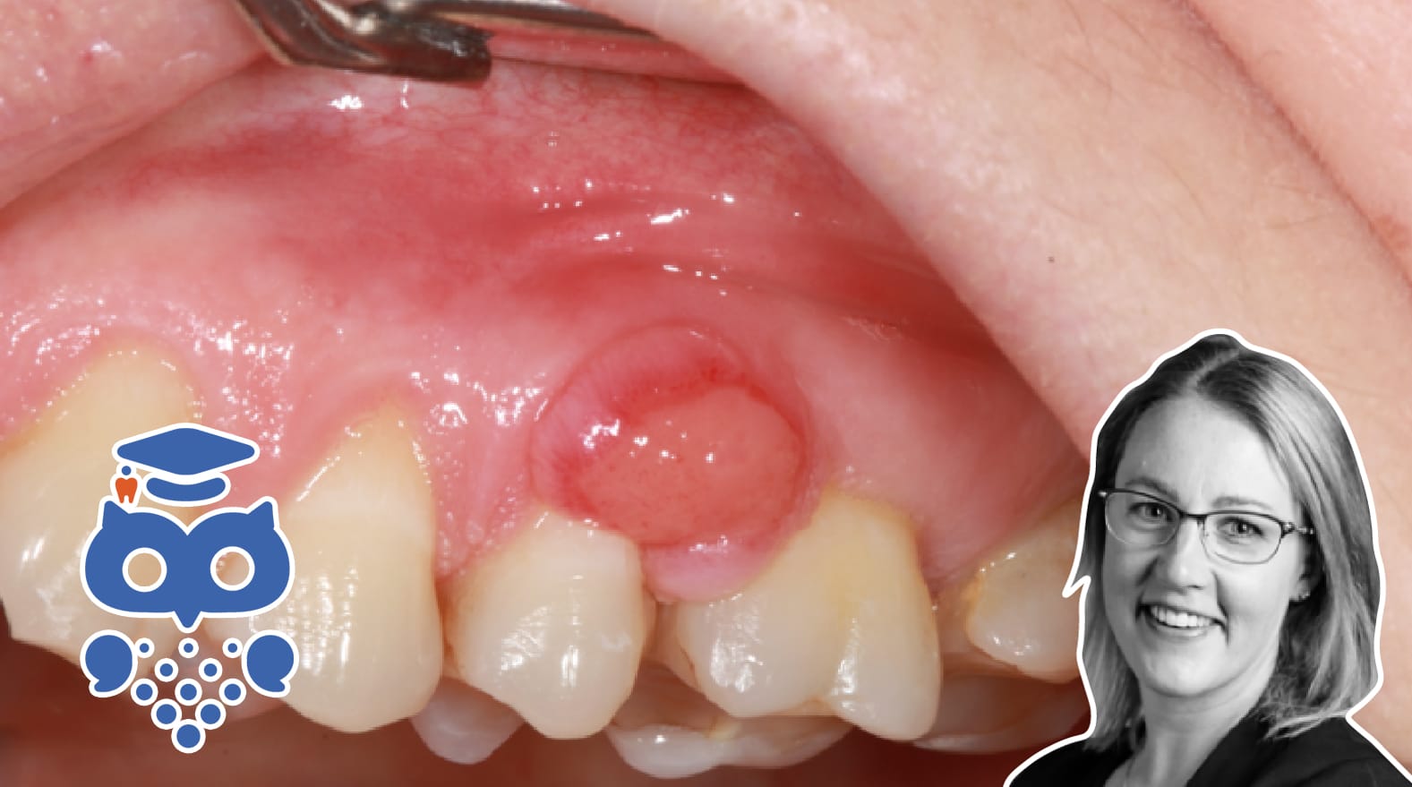
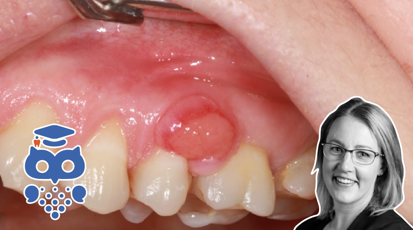
Det kan ofta upplevas svårt att undersöka, diagnostisera och behandla orala slemhinneförändringar. Patienten kan också vara orolig och vilja ha ett snabbt svar på vilken typ av slemhinneförändring som finns i deras mun. Därför har vi skapat detta galleri för att du ska kunna jämföra förändringen i munnen på din patient med tidigare patientfall som andra kollegor haft för att få hjälp med hur du ska handlägga ditt fall.
Klicka på valfritt kliniskt foto som tar dig vidare till ett faktablad med information om orsaker, diagnostisering och behandling för detta tillstånd. Klicka på rubrikerna eller bilderna för att komma vidare till respektive faktablad. Om du, efter att ha läst faktabladet, känner att du behöver ytterligare hjälp, remittera patienten till en specialistklinik i din region.
Bilderna kommer från respektive faktablad samt kompletteras med bilder från tandläkare/Odont Dr Maria Bankvall.
Har du också bilder som skulle vara av intresse för bildgalleriet. Kontakta då gärna Internetodontologi på följande mailadress: info@internetodontologi.se
Oral cancer - maligna förändringar
