Dekoronering av ankylotisk framtand efter trauma
Ankylos uppstår när rothinnan skadas, ofta efter trauma, vilket leder till ersättningsresorption och infraposition hos unga. Dekoronering bevarar benet och används för att hantera ankylos. Långsiktig interdisciplinär planering behövs för optimal behandling och framtida rehabilitering.
Faktabladets innehåll
BAKGRUND
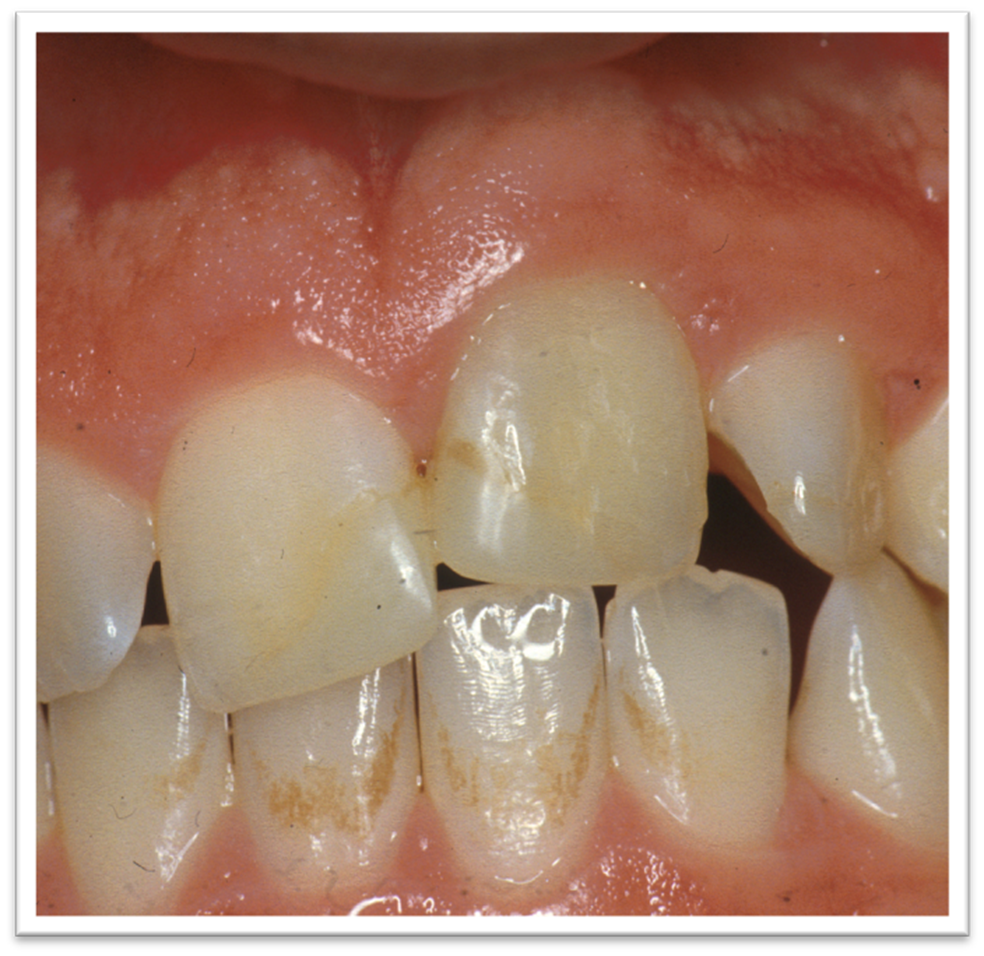
Ankylos uppkommer när tandens rothinna skadats, vanligen efter allvarliga tandtrauman som till exempel intrusioner och exartikulationer i överkäksfronten. Ankylos kan uppkomma som en effekt av den skada på rothinnan som uppstår i traumaförloppet, under den tid tanden är utanför munnen eller i proceduren med reponering eller replantation av den skadade tanden. Den oskadade rothinnan, upprätthåller normalt sin integritet genom att hålla benet på avstånd. Om rothinnan skadas, skyddas inte längre tanden från det omgivande benet som växer in i kontakt med dentinet och tanden går in i ett ankylotiskt tillstånd. Benet kommer nu att successivt att ersätta dentinet, s.k. ersättningsresorption eller replacement resorption, som på sikt helt resorberar tanden och ersätter den med ben. Hos den vuxna patienten sker ingen tillväxthämning, men om patienten är ung och fortfarande under tillväxt, kommer förutom ersättningsresorptionen omgivande ben till den ankylotiska tanden även att drabbas av tillväxthämning och tanden hamnar i s.k. infraposition. Granntänder involveras genom att den ankyloserade tanden låser fast även granntänderna, som ofta tippar in i det ankyloserade område och följer med i infrapositionen. (Fig 1)
DIAGNOSTIK
Fig 1. Patient nr 1. Tand 21 har gått i ankylos efter replantation. Tanden uppvisade högt perkussionsljud och tillväxthämning av alveolarutskottet. Granntänderna har tippat in i det tillväxthämmande området.

Ankylos diagnosticeras genom att knacka på tanden (perkussionstest) och man hör då ett högt ljud jämfört med när man knackar på en oskadad granntand. Den ankylotiska tanden saknar även helt mobilitet. Efter en tid ses även ersättningsresorption med ben på röntgen, men kliniska tecken på ankylos ses tidigare än man kan upptäcka ersättningsresorption på röntgen I stället ska man vid uppföljningen titta efter tecken tillväxthämning i området, s.k. infraposition, vilket ses efter en tid hos unga växande individer. Det är därför viktigt att kliniskt diagnosticera ankylos och tillväxthämning i uppföljningen efter trauma.