Molar Incisor Hypomineralization (MIH)
Molar Incisor Hypomineralization (MIH) är en emaljstörning som drabbar sexårsmolarer och ibland incisiver. Den orsakar ilningar, sönderfall och behandlingsproblem. Orsaken är oklar men kopplas till tidiga hälsoproblem.
Faktabladets innehåll
BAKGRUND
Sedan slutet av 1970-talet har tandvården i Sverige noterat nyligen erupterade sexårständer med opaka vitgula till gulbruna fläckar ofta i kombination posteruptivt sönderfall av emaljen. I många fall fanns det också opaka fläckar på de permanenta framtänderna. Tänderna isade och var smärtsamma för barnen, i synnerhet när det också var sönderfall av emalj. De var också svåra att laga och svåra att bedöva. Denna typ av emaljstörning beskrevs första gången 1987, i en svensk studie (Koch et al. 1987), och är sedan början av 2000-talet rapporterad från en stor del av världens länder. Emaljstörningen har haft skiftande benämningar i olika länder och studier. För att råda bot på denna begreppsförvirring beslutades 2001 att benämna tillståndet Molar Incisor Hypomineralization (MIH) (Weerheijm et al 2001).

Figur 1. MIH-tand med välavgränsad opacitet.

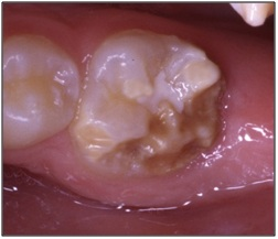
Figur 2. MIH-tand med utbredd opacitet och posteruptivt sönderfall.
För att diagnosen MIH skall kunna ställas skall följande kriterier vara uppfyllda:
- Kvalitativ emaljutvecklingsstörning (hypomineralisering) i form av välavgränsade opaciteter med eller utan sönderfall
- Minst en av sexårständerna skall vara drabbade
- En eller flera incisiver kan också vara drabbade samtidigt, men för att diagnosen MIH skall kunna ställas, måste även minst en sexårstand vara drabbad.
EPIDEMIOLOGI
MIH är vanligt. Den rapporterade prevalensen varierar från 2.4 % till 40.2 % (Jälevik 2010). En svensk studie, där drygt 500 barn födda 1990 undersöktes, visade att nästan vart femte barn hade MIH. En tredjedel hade grava störningar med sönderfall (Jälevik et al. 2001).