Silverdiaminfluorid
Silverdiaminfluorid (SDF) stoppar kariesutveckling och minskar tandsensitivitet. Läs om indikationer, kliniskt tillvägagångssätt, vetenskapligt underlag och sidoeffekter för denna icke-invasiva behandlingsmetod.
Faktabladets innehåll
Bakgrund
Silverdiaminfluorid (SDF) är en professionell behandling av exponerat tandben (dentin) för att stoppa kariesutvecklingen och för att lindra besvär från ilningar i tänderna. Metoden introducerades i Japan 1969 och har efter hand kommit till Europa via Syd- och Nordamerika. SDF står upptaget på WHO’s lista över ”Essential dental medicines” [WHO, 2023]. I Sverige är inte SDF en rekommenderad metod enligt de Nationella riktlinjerna och SBU har registrerat pensling av dentinkaries med SDF minst en gång per år hos vuxna personer med behov av särskilt stöd som en kunskapslucka [SBU 2024].
Sammansättning och verkningsmekanismer
Silverdiaminfluorid (AgF(NH3)2 är en basisk färglös och luktfri vätska som ser ut som vatten och består av en blandning av silvernitrat och fluorid med en sammanlagd koncentration av 38% [Zheng et al. 2022]:
- Silver (25%) - tränger in i de yttersta lagren och kan försegla de små kanalerna (tubuli) i dentinet, vilket minskar känsligheten för temperatur och syra. Silverjonerna har även en antibakteriell verkan genom att interagera med bakteriernas cellväggar och DNA. Detta hämmar tillväxten av kariesrelaterade bakterier
- Ammonium-joner (8%) – stabiliserar och aktiverar lösningen
- Fluorid (5% eller 44,800 ppm) - stimulerar bildandet av hydroxylapatit och fluorapatit
SDF har sammantaget en karieshämmande effekt genom att minska bakterietillväxt, förhindra kollagennedbrytning, samt att främja remineralisering av emalj och dentin.
Indikationer
I de flesta länder är SDF godkänt för behandling av hypersensitivitet men används i praktiken ”off label” mot karies, vilket betyder ”en användning som avviker från den godkända produktresumén, såsom användning på icke godkänd indikation, med avvikande dos eller med avvikande administrationssätt”.
Karierade tänder: För att stoppa utvecklingen av befintlig kronkaries, särskilt i dentin, och vid kaviteter på rotytor i anteriora och posteriora tänder. Exempel är:
- Barn med omfattande kariesskador och bristande förmåga till samarbete, under period med inskolning eller i väntan på behandling under generell anestesi
- Personer med nedsatt förmåga till egenvård, exempelvis sköra äldre eller personer med funktionsnedsättningar
- Svåråtkomliga kaviteter på blottade rotytor hos vuxna
- Personer med karies som samtidigt har akuta och/eller allvarliga medicinska tillstånd
- Vuxna personer med svår tandvårdsrädsla och obehandlad karies
- Vid medicinska kontraindikationer för extraktion
Känsliga tänder:
- Vuxna personer med subjektiva och långvariga besvär i form av ilningar (hypersensitivitet) i tänderna där entydig etiologi saknas och andra behandlingsalternativ inte fungerar
- Barn med grav MIH (Molar Incisor Hypomineralisation) och subjektiva besvär (molarer) [Hjertberg et al. 2024].
Kontraindikationer
- Infekterade tänder med pulpit och akut värk
- Non-vitala tänder
- Allergi mot silver eller andra ingående substanser
- Akut gingivit eller mukosit
- Gravida och ammande kvinnor
- Patienter som medicinerar mot sköldkörtelbesvär
Vetenskapligt underlag
Det finns ett stort antal kliniska studier av varierande kvalitet som studerat de karieshämmande effekterna av SDF hos barn och vuxna [Seifo et al. 2019]. Resultaten har sammanfattats i ett flertal systematiska översikter och metaanalyser.
Mikroflora och hårdvävnader: Det finns ett visst vetenskapligt stöd för att SDF inducerar kvantitativa förändringar av den kariogena mikrofloran och ökar mineraltätheten i emalj och dentin [Rogalnikovaitė et al. 2024; Alowid et al. 2024].
Primär kariesprevention: Det finns otillräcklig vetenskapligt stöd för en kariesförebyggande effekt av SDF hos barn och vuxna [Worthington et al. 2024].
Sekundär och tertiär kariesprevention: Flera systematiska litteraturöversikter av randomiserade kliniska studier visar entydigt att SDF stoppar kariesaktiviteten i högre grad än placebo och/eller ingen behandling. Detta gäller framför allt kaviteter i de primära tänderna och rotkaries [Grandjean et al. 2021, Zaffarano et al. 2022]. I alla studier är SDF effektivare eller minst lika effektiv som behandling med fluoridlack. Lyckandefrekvensen för avstannad karies varierar mellan 21-98% med ett medelvärde på 55% [Alqalaleef et al. 2024]. Den högsta lyckandefrekvensen tycks gälla för framtänderna i mjölktandsbettet på kariesaktiva barn och när behandlingen upprepas efter 6 månader.
Hypersensibilitet: Det finns ett måttligt vetenskapligt underlag för att SDF minskar besvären från isande och ilande tänder hos vuxna. De subjektiva besvären minskade med 23-56% efter en engångsapplikation [Chan et al. 2024].
Kliniskt tillvägagångssätt
SDF skall hanteras med försiktighet och all kontakt med omgivningen liksom patientens läppar, tunga och tandkött ska undvikas. Barn och vuxna måste vara kooperativa och kunna samarbeta.
- Rengör kaviteten från plack
- Isolera området med bomullsrullar och blästra kaviteten torr med tryckluft eller torka med bomullspellets
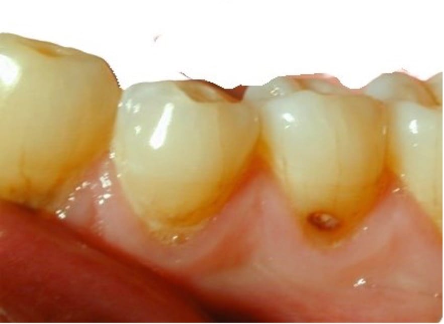
- Applicera SDF med en mikroborste direkt på kariesangreppet (Figur 1). En droppe (25 μL) räcker till att ”pensla” upp till fem tänder
- Låt SDF absorberas och torka in i minst 1 minut. Undvik salivkontakt
- Följ upp behandlingen inom 2-4 veckor för att bedöma kavitetens aktivitet. Har den inte mörknat och/eller hårdnat vid sondering kan behandlingen återupprepas

Fördelar
- En smärtfri, icke-invasiv behandling av aktiv karies utan att borra och fylla tänder
- Snabb och enkel applicering för barn och vuxna som har svårt att samarbeta
Sidoeffekter och nackdelar
I de kliniska studier som publicerats har inga allvarligare biverkningar i form av allergiska eller toxiska reaktioner rapporterats [Seifo et al. 2020]. Inte heller har toxiska nivåer av silver eller fluorid påvisats i blodet hos vuxna när flera kaviteter behandlats vid samma tillfälle. Motsvarande studier hos barn saknas men en droppe SDF innehåller 2.24 mg fluorid vilket motsvarar en femtedel av den dos som ges vid ”normal” behandling med fluoridlack. Man ska vara noga med att undvika all kontakt med tandkött och slemhinnor för att undvika besvär.
Efter applicering blir den behandlade tanden permanent missfärgad, vilket kan upplevas som ett kosmetiskt problem. Enligt en översiktsartikel verkar dock merparten av barn och föräldrar acceptera utseendet [Magno et al. 2019]. Det är trots allt viktigt att patienter, barn och föräldrar tydligt informeras om detta och får möjlighet att väga fördelarna mot nackdelarna. Missfärgningarna kan delvis motverkas genom applikation av kaliumjodid efter SDF men det finns motsägande uppgifter om det påverkar behandlingens effektivitet. Ett annat sätt att undgå visuella missfärgningar är att göra en temporär fyllning i kaviteten efter SDF behandlingen.
Vid oavsiktligt spill på hud och kläder skall SDF omedelbart tvättas bort; på huden med enbart vatten och fläckar på kläder med vatten och blekmedel. Överblivna kapslar som innehåller silver ska hanteras enligt rutiner som gäller för farligt avfall.


Nationella riktlinjerna
De nationella riktlinjerna tar inte upp behandling med SDF och metoden används i dagsläget inte rutinmässigt som standardbehandling i Sverige för att behandla karies. I USA har FDA godkänt SDF för behandling av känsliga tänder hos vuxna och interimistiskt som ett off-label preparat mot karies (“Conservative treatment of an active, non-symptomatic carious lesion by topical application of a caries arresting or inhibiting medicament and without mechanical removal of sound tooth structure”). Även inom EU är SDF en licensierad produkt för ilande tänder men den används även mot karies. Både European Academy of Paediatric Dentistry (EAPD) och European Federation of Conservative Dentistry (EFCD) har riktlinjer och rekommendationer för SDF. Rent allmänt gäller att behandlingar och läkemedel som är godkända inom EU får användas i Sverige. De vanligaste produkterna på den skandinaviska marknaden är Riva Star och Riva Star Aqua som innehåller en vattenbaserad lösning i kapselform. Fördelen med den vattenbaserade lösningen är att missfärgningarna minimeras
Referenser
Chan AKY, Tsang YC, Yu OY, Lo ECM, Leung KCM, Chu CH. Clinical evidence for silver diamine fluoride to reduce dentine hypersensitivity: A systematic review. J Dent. 2024;142:104868.
Grandjean ML, Maccarone NR, McKenna G, Müller F, Srinivasan M. Silver Diamine Fluoride (SDF) in the management of root caries in elders: a systematic review and meta-analysis. Swiss Dent J. 2021;131(5):417-424.
Hjertberg E, Hajdarević A, Jälevik B. Desensitization treatment in MIH-affected teeth: a systematic review. Eur Arch Paediatr Dent. 2025;26(1):17-29.
Magno MB, Silva LPD, Ferreira DM, Barja-Fidalgo F, Fonseca-Gonçalves A. Aesthetic perception, acceptability and satisfaction in the treatment of caries lesions with silver diamine fluoride: A scoping review. Int J Paediatr Dent. 2019;29(3):257-266.
Rogalnikovaitė K, Narbutaitė J, Andruškevičienė V, Bendoraitienė EA, Razmienė J. The Potential of Silver Diamine Fluoride in Non-Operative Management of Dental Caries in Primary Teeth: A Systematic Review. Medicina (Kaunas). 2024;60(11):1738.
SBU 2024/986: Pensling av dentinkaries med silverdiaminfluorid (30% eller 38%) minst en gång per år jämfört med fluoridlack (5%) en gång per vecka i tre veckor eller var tredje månad vid dentinkaries med progression hos vuxna personer med behov av särskilt stöd.
Seifo N, Cassie H, Radford JR, Innes NPT. Silver diamine fluoride for managing carious lesions: an umbrella review. BMC Oral Health. 2019;19(1):145.
Seifo N, Robertson M, MacLean J, Blain K, Grosse S, Milne R, Seeballuck C, Innes N. The use of silver diamine fluoride (SDF) in dental practice. Brit Dent J 2020;228:75–81.
World Health Organization Model List of Essential Medicines – 23rd List, 2023. In: The selection and use of essential medicines 2023: Executive summary of the report of the 24th WHO Expert Committee on the Selection and Use of Essential Medicines, 24 – 28 April 2023. Geneva: World Health Organization; 2023.
Worthington HV, Lewis SR, Glenny AM, Huang SS, Innes NP, O'Malley L, Riley P, Walsh T, Wong MCM, Clarkson JE, Veitz-Keenan A. Topical silver diamine fluoride (SDF) for preventing and managing dental caries in children and adults. Cochrane Database Syst Rev. 2024;11(11):CD012718.
Zaffarano L, Salerno C, Campus G, Cirio S, Balian A, Karanxha L, Cagetti MG. Silver Diamine Fluoride (SDF) Efficacy in Arresting Cavitated Caries Lesions in Primary Molars: A Systematic Review and Metanalysis. Int J Environ Res Public Health. 2022;19(19):12917.
Zheng FM, Yan IG, Duangthip D, Gao SS, Lo ECM, Chu CH. Silver diamine fluoride therapy for dental care. Jpn Dent Sci Rev. 2022;58:249-57.