Preoperativ svårighetsbedömning inför visdomstandskirurgi
Retinerade visdomständer är vanliga och kan orsaka smärta, infektioner och skador på intilliggande tänder. Operativt avlägsnande kräver noggrann preoperativ bedömning av risker och svårighetsgrad. Beslut baseras på kliniska och radiologiska faktorer för optimal behandling.
Faktabladets innehåll
BAKGRUND
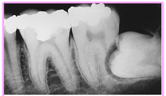
Då visdomständerna är de sista tänderna i bettet att eruptera är förekomsten av total eller partiell retention av visdomständer relativt vanligt. 72% av svenskarna i åldrarna 20 till 30 år har minst en retinerad visdomstand. De kan orsaka smärta, svullnad och infektion – och kan förstöra angränsande tänder och ben. Operativt avlägsnande av visdomständer är ett av de vanligaste kirurgiska ingreppen inom tandvården. Preoperativ bedömning av kirurgiska svårigheter är grundläggande för planeringen inför operativt avlägsnande av retinerade visdomständer. Vinsten av operationen ska alltid överstiga risken med ingreppet. Bedömningen är inte bara viktig för beslut om patienten ska remitteras till specialist eller inte, utan också för att informera patienten om eventuella risker och komplikationer i samband med det operativa ingreppet.
Indikation för operativt avlägsnande av retinerade visdomständer
När tänderna är förknippade med kroniska eller akuta patologiska processer som:
- Karies
- Parodontal sjukdom med ficka > 5 mm distalt på 7:an
- Kron/rotresorption
- Retinerade tänder med associerade patologiska tillstånd (cystor, tumörer)
- Periapikala abscesser
- Odontogena infektioner
- Tänder i frakturlinjen
- Osteomyelit
- Borttagning före rekonstruktiv eller ablativ kirurgi och strålterapi
Ortodontisk eller protetisk indikation:
I den vetenskapliga litteraturen finns ingen evidens för att retinerade visdomständer ger upphov till trångställning (crowding). Profylaktiskt avlägsnande av visdomständer i över- eller underkäken på den indikationen är därför inte indicerad.
Profylaktiskt operativt avlägsnande av asymtomatiska retinerade visdomständer:
Incidensen av minst en retinerad visdomstand i åldern 20-30 år i Sverige är 72%. En tredjedel av dessa asymtomatiska och retinerade tänder ändrar position över tid och kommer att kommunicera med munhålan med risk för oral hygieniska svårigheter.
30 % - 60 % av de partiellt retinerade symtomgivande visdomständerna kommer att vara föremål för operativt avlägsnande inom 4 - 12 år efter första besöket för besvär.
Det finns idag inget vetenskapligt stöd för profylaktisk borttagning av asymtomatiska, sjukdomsfria visdomständer. Dock kan extraktion av den asymtomatiska tanden vara fördelaktigt om karies finns i den intilliggande andra molaren, eller om parodontala fickor finns distalt om den andra molaren.

