Pemfigus Vulgaris (blåsor och sår i munnen)
Pemfigus vulgaris (PV) är en autoimmun sjukdom som orsakar blåsor och sår på hud och slemhinnor, ofta i munhålan. Diagnos ställs genom biopsi och immunofluorescens. Behandling inkluderar topikala steroider, systemiska immunsuppressiva medel och biologiska läkemedel vid svåra fall.
Faktabladets innehåll
Originaltext författat av: Mattsson Ulf • Övertandläkare • Docent • Avd för Käkkirurgi och Orofacial medicin• Karlstad
BAKGRUND
Pemfigus är en autoimmun sjukdom som drabbar hud och slemhinnor. Pemfigus är egentligen en grupp av sjukdomar där pemfigus vulgaris (PV) är den vanligaste formen och den som ofta engagerar munhålans slemhinnor. Innan det fanns tillgång till immunosuppressiv behandling var pemfigus vulgaris ofta dödlig. Med tillgång till läkemedel som kan dämpa den inflammatoriska reaktionen är prognosen betydligt bättre, men pemfigus vulgaris ska fortfarande betraktas som en allvarlig sjukdom.
Epidemiologi
Sjukdomen är ovanlig i den svenska populationen. Det är svårt att finna säkra epidemiologiska siffror, men sannolikt ligger incidensen på cirka 0,5-1 fall/100 000 individer och år. Insjuknandet sker oftast i 50-60-årsåldern.
Pemfigus vulgaris drabbar ofta den orala mucosan och man uppskattar att cirka 90% av patienter med sjukdomen har oralt engagemang. En nyligen publicerad systematisk review visade att pemfigus vulgaris också kan ha enbart orala manifestationer.
Etiologi och patogenes
Vad som utlöser PV är okänt. Det finns en genetisk koppling där vissa HLA-alleler har identifierats som riskfaktorer. Pemfigus är också vanligare i Medelhavsområdet och vissa läkemedel har ansetts kunna initiera PV. Det finns dock ingen enskild orsak som kan förklara varför PV uppstår. Sannolikt finns det ett antal genetiska och triggande faktorer som leder fram till produktion av autoantikroppar med efterföljande blåsbildning.
Desmosomen är en struktur som håller ihop cellerna i epitelet. Vid PV som engagerar munhålan har man utvecklat cirkulerande autoantikroppar som riktar sig mot en av de extracellulära komponenterna (desmoglein 3) i desmosomen. Vid mucocutan PV har man också ofta även autoantikroppar mot desmoglein 1. Fixationen av IgG-antikroppar till inter-cellulärrummet triggar en frisättning av proteolytiska enzym, vilket i sin tur leder till att cellerna i epitelet släpper från varandra. Detta fenomen kallas akantolys. På grund av akantolysen uppstår en intraepitelial blåsbildning. Eftersom epitelet är tunt och cellerna sitter löst mot varandra brister blåsan snabbt och ersätts av ytliga ulcerationer i slemhinnan.
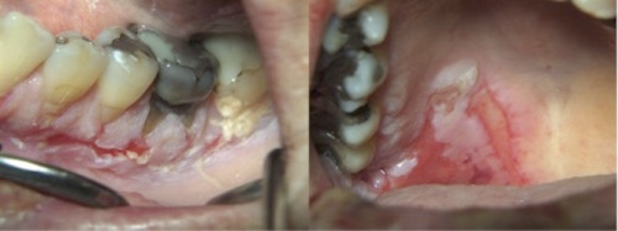
KLINISKT UTSEENDE
De intraorala lesionerna kan variera i utseende och utbredning. Initialt kan man i enstaka fall se de ytliga blåsbildningarna men oftast manifesterar sig PV som sårbildningar där det intilliggande epitelet släpper vid lätt mekanisk belastning (Nikolskys tecken). Såren är ofta tämligen skarpt avgränsade från den intilliggande vävnaden. Inte sällan har munslemhinnan där epitelet fortfarande sitter kvar en lätt vitaktig ton på grund av akantolysen (Bild 1, 2) som också i någon mån därmed maskerar den inflammatoriska processen. Lesionerna kan sitta var som helst i munhålan, men engagemang av gingiva och gomslemhinna är vanligt.

