Skapa konto

Reaktiva nybildningar

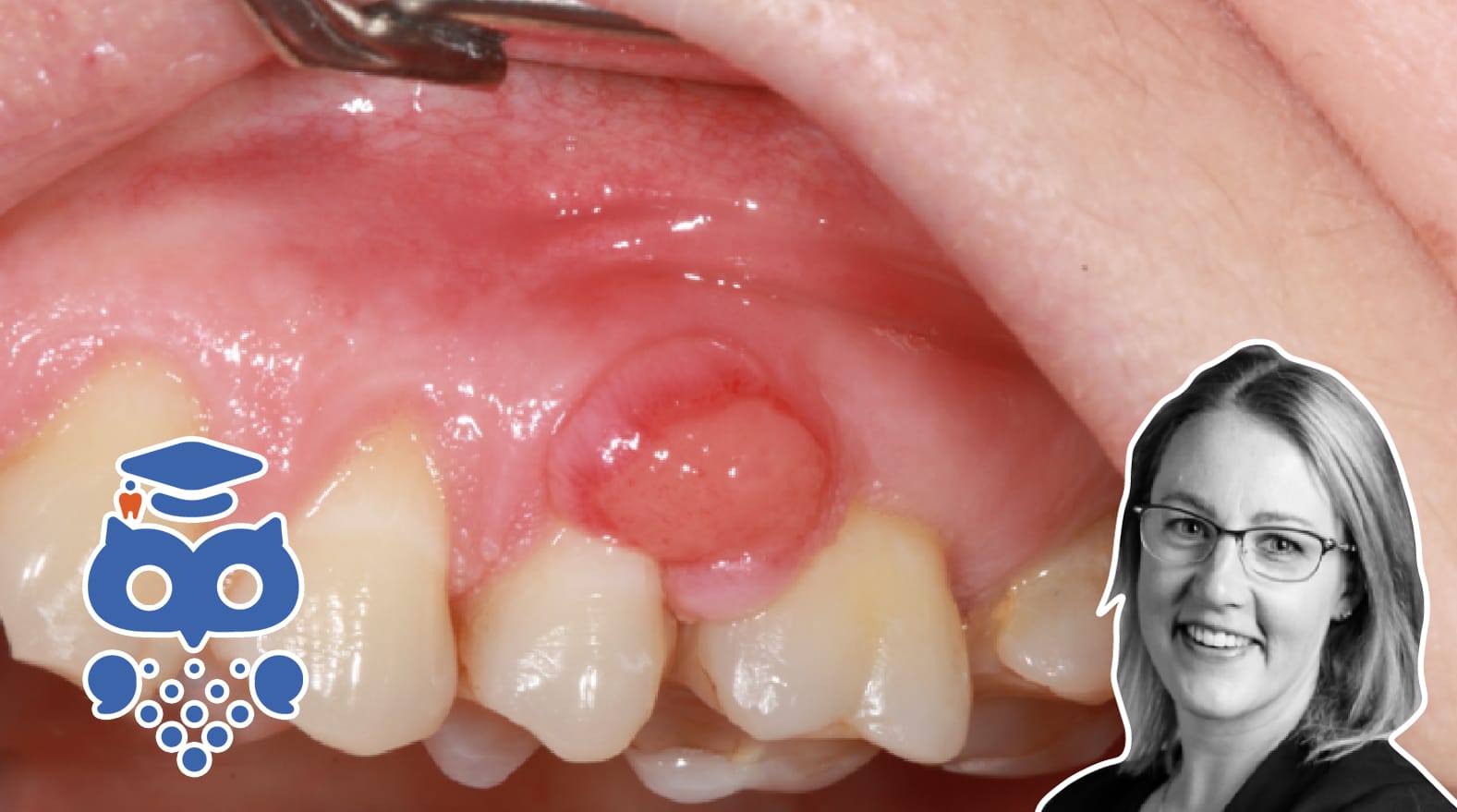
Godartade slemhinnenybildningar, som irritationhyperplasi och pyogent granulom, uppstår ofta vid kronisk irritation. Prevalens för slemhinnehyperplasi är 19 %, pyogent granulom 1 %. Behandling innefattar excision och borttagning av utlösande faktorer. Prognosen är god, men recidiv kan förekomma.

Faktabladets innehåll

    Originaltext författad av: Ebba Kjellström

    BAKGRUND

    En vanlig remissorsak inom oral medicin är godartade slemhinnenybildningar.

    Munslemhinnan exponeras ofta för återkommande eller kronisk irritation i form av plack, tandsten, upprepad påbitning, dåligt passande proteser eller fyllningsöverskott. Det kan ge upphov till reaktiva nybildningar.

    Orsaker

    Överdrivet vävnadssvar på trauma/kronisk irritation.

    Orofacial medicin – utredning och diagnostik

    Se kursen på Tandakademin!

    FIBROEPITELIAL/FIBRÖS SLEMHINNEHYPERPLASI, IRRITATIONSHYPERPLASI

    • Oöm ibland tumorliknande
    • Mjuk eller något fastare än omgivande slemhinna
    • Bredbasigt ansatt eller stjälkad ibland flikig hyperplastisk nybildning
    • Lokaliserad till tungrand, kindslemhinna eller läpparnas insidor i områden som lätt traumatiseras vid tuggning
    • I anslutning till dåligt passande avtagbar protes
    • Normalfärgad eller något blekare än omgivande vävnad. Består av relativt kärlfattig fibrös bindväv
    • Täcks av normal slemhinna som ibland kan vara ulcererad
    • Sällan större än 1-2 cm
    • Ofta solitär

    Behandling