Bettavvikelser hos 3-7 åringar
Vid 3 års ålder är det primära bettet komplett. Bettutveckling påverkas av arv och miljö, såsom sugvanor som kan orsaka bettavvikelser. Behandling av bettavvikelser i primära bettet är sällan nödvändig och väntar ofta till växelbettperioden vid 7-12 år.
Faktabladets innehåll
BAKGRUND
Vid 3 års ålder är det primära bettet komplett hos de allra flesta barn. Bettets utveckling sker i takt med att barnet växer i käkarna men framförallt när tandväxling sker från primära tänder till permanenta tänder. Åren fram till 6-7 års ålder har barnet det vi kallar primära bettet, då bettet endast består av primära tänder (mjölktänder). När barnets 6-årsmolarer erupterar inträder växelbettsperioden som ofta varar mellan 7-11 års ålder. Vid ca 12 års ålder består bettet endast av permanenta tänder. Åldern för dessa perioder kan variera mellan individer och framförallt växelbettsperioden kan variera med flera år uppåt och nedåt. Bettets utveckling styrs till stor del av arvet från barnets föräldrar men även av miljöfaktorer såsom andningsmönster och sugvanor.
Under tiden från födseln fram till 3 års ålder är det ca 80 % av barnen som har en sugvana. Den vanligaste sugvanan är nappsugning men även tum- eller fingersugning förekommer. Sugvanor har ett starkt samband med utveckling av olika bettavvikelser. I en nyligen publicerad systematisk litteraturöversikt slår man fast att valet av napp kan ha betydelse för påverkan på bettet. Det vetenskapliga underlag vi har idag tyder på att en anatomiskt utformad napp inte leder till frontalt öppet bett eller korsbett i lika stor utsträckning som den konventionellt utformade nappen gör. I en RCT studie från Finland såg man att det var vanligare med korsbett vid 7 års ålder om barnet hade fortsatt sin sugvana efter 1 års ålder.Övriga vanliga bettavvikelser i det primära bettet är frontalt öppet bett och stort överbett (>4mm). Samtliga dessa bettavvikelser kan ses redan vid 3 års ålder och kan bestå ända in i det permanenta bettet.
Ett sätt att studera utvecklingen av bettavvikelser är att följa en grupp barn under tillväxten och se vad som händer under den tidiga bettutvecklingsfasen hos barnet. I en svensk studie där 386 barn följdes från 3- till 7 års ålder visade det sig att nästan alla typer av bettavvikelser hade möjlighet att självkorrigeras om sugvanan hade upphört innan växelbett perioden. I samma studie såg man att under den här perioden utvecklades även nya bettavvikelser i nästan lika stor omfattning. En studie från Schweiz har funnit liknande resultat när det gäller korsbett.
Utveckling av bettavvikelser under perioden 3-7 års ålder
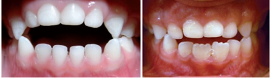
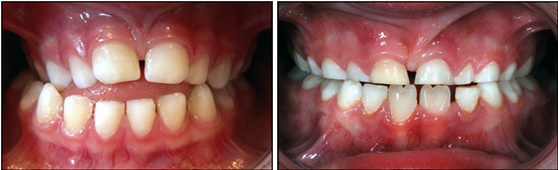
En vanlig utveckling av frontalt öppna bett är att de självkorrigeras när sugvanan upphör (Figur 1). Om patienten har påverkan från andra miljöfaktorer t.ex. munandning kan en bettrelation istället förvärras under samma period (Figur 2).
Fig 1. Frontalt öppet bett vid 3- respektive 7 års ålder hos samma individ.

Fig 2. Utveckling av frontalt öppet bett från 3 till 7 års ålder hos samma individ.

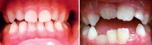
Även en stor del av korsbetten har möjlighet att självkorrigeras under denna period men förutsättningen är sannolikt även här att sugvanan upphört (Figur 3).
Fig 3. Högersidigt korsbett vid 3 års ålder som är självkorrigerat hos denna individ vid 7 års ålder.
