Infraocklusion av primära molarer
Infraocklusion innebär att en tand hamnar under ocklusalplanet. Tillståndet är vanligast i 9–10 års ålder och kan leda till platsbrist. Diagnos ställs genom perkussion. Behandling är oftast onödig, men extraktion eller luckhållare kan övervägas vid agenesi av efterföljande premolarer.
Faktabladets innehåll
BAKGRUND
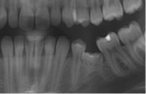
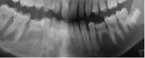
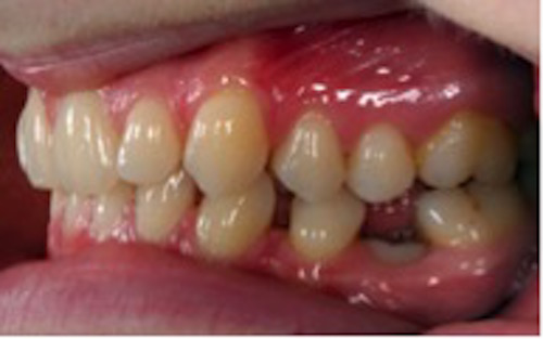
Infraocklusion av tänder innebär att tänderna befinner sig under ocklusalplanet hos angränsande tänder. Avståndet kan variera från någon millimeter till att ocklusalytan är under gingivakanten eller inte ens syns i munnen (1-4). I de flesta fall erupterar alla primära molarer upp till ocklusal kontakt med motstående tänder. Senare börjar en del hamna i infraocklusion och ibland blir de även ankylotiska.





Prevalens
I sällsynta fall kan primära molarer ses i infraocklusion redan i 3-4 årsåldern, men mest frekvent är infraocklusion i 9-10 års ålder (2). Omkring 14 % av barnen i dessa åldrar har en eller flera primära molarer i infraocklusion. Det förekommer dubbelt så ofta i underkäken som i överkäken. Infraocklusion av primära molarer förekommer ofta hos barn som även har andra tand- eller eruptionsavvikelser så som agenesi av premolarer, små eller tappformade överkäkslateraler, ektopisk eruption av överkäkens första permanenta molarer och retinerade överkäkshörntänder (5-8).