Angulära bendefekter runt tänder – diagnos och behandling
Angulära bendefekter vid parodontit: diagnos, behandling och regenerativa tekniker för att bevara parodontala strukturer.
Faktabladets innehåll
BAKGRUND
Angulära (intrabony) bendefekter är vertikala bendefekter som kännetecknas av förlust av alveolärt ben i en sned vinkel i förhållande till tandens rot. Till skillnad från horisontell benförlust, där benkanten är jämnt reducerad, framträder angulära defekter som lesioner där ena sidan av benkanten ligger mer apikalt än det angränsande benet. Dessa lesioner klassificeras som tre-väggiga, två-väggiga eller en-väggiga defekter, var och en med olika regenerationspotential (1,2).
Epidemiologiska studier visar att angulära defekter är vanliga vid avancerad parodontit, med en prevalens på 18–55 % i populationer med måttlig till svår sjukdom (3). Deras patogenes är kopplad till kronisk bakteriell belastning, värdens inflammatoriska respons samt modifierande faktorer som rökning, diabetes, stress och genetisk predisposition (4,5). Lokala anatomiska faktorer – rotavstånd, tandposition och interdentalt utrymme – påverkar också defektens morfologi och läkningspotential (6).
Dessa defekter är kliniskt betydelsefulla eftersom de kan behandlas med regenerativa metoder för att återställa förlorade parodontala strukturer (cement, parodontalligament, alveolärt ben), och därigenom förhindra tandförlust (7).
DIAGNOS
Klinisk bedömning:
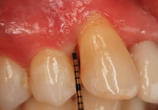
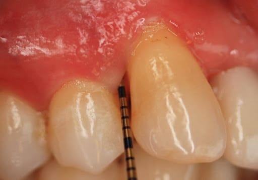
- Fickdjup (PPD): Djupa fickor (>6 mm) på en tandyta (och samtidig skillnad ≥3mm från angränsade ytor) kan tyda på angulära defekter. (bild 1a,1b)


- Klinisk fästnivå (CAL): Återspeglar den verkliga förlusten av parodontalt stöd.
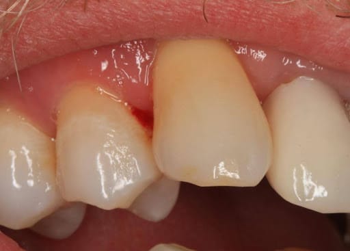
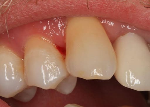
- Blödning vid sondering (BOP) och suppuration: Tecken på inflammation (8). (bild 1c)
