Ocklusal korrigering
Ocklusal korrigering syftar till att optimera kontakten mellan tänder och kan förbättra tuggfunktion, minska skador och underlätta protetisk behandling. Metoder inkluderar bettslipning, komposituppbyggnad och ortodonti. Behandlingen bör föregås av noggrann analys.
Faktabladets innehåll
BAKGRUND
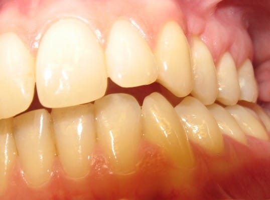
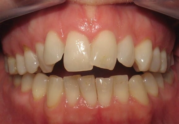
Ett bett med oharmonisk ocklusion kan orsaka dentala skador, ge försämrad tuggfunktion och försvåra en protetisk rehabilitering. Med relativt enkla insatser kan ocklusal korrigering göras med gott resultat. Den ocklusala korrigeringen syftar till att optimera kontaktförhållanden mellan antagonister i bettet genom att omforma ocklusalytorna utan att förlora kuspar och fossor.
Förändringar i ocklusionen kan ske i vuxen ålder av flera olika anledningar. Dental ocklusion är föränderlig över tid under hela livet och tändernas position påverkas av krafter från läppar, tunga, bettet och parafunktionella vanor. Tandförflyttningar som patienten själv åstadkommer genom läpp- och tungpress, eller att tunga och läppar placeras mellan delar av tandbågen, kan medverka till att ocklusionen förändras och öppet bett utvecklas.
Vid utdragen bitning i en bruxoposition kan den traumatiska belastningen göra att ocklusionen omformas. Även en för kort, eller frakturerad bettskena som inte täcker alla tänder, kan ge ocklusala förändringar och öppet bett.


En annan grupp av ocklusionsförändring har samband med förändringar i käkleder, som vid reumatisk sjukdom och artros med förlust av brosk och ben i själva käkleden, vilket medför att leden sjunker ihop. Sker förändringen i ena leden blir det endast ocklusionskontakt på den förslitna sidan. Käkledsförändring på båda sidorna kan göra att mandibeln roterar posteriort åt, vilket ger ökad horisontell överbitning, försämrade ocklusionskontakter och frontalt öppet bett. Även vid diskförskjutning kan man få en mindre ocklusionsförändring.