Rotspricka – ett diagnostiskt dilemma
Rotsprickor i rotfyllda tänder orsakar smärta, svullnad och fistelbildning, ofta upptäckt via röntgen och djupa fickor. Vanligt i molarer och premolarer, med ökad risk vid stift eller biomekaniska faktorer. Diagnos kräver inspektion och mätning; behandling är oftast extraktion.
Faktabladets innehåll
Originaltext författad av: Johan Warfvinge
BAKGRUND
Det är inte ovanligt att endodontiska behandlingar misslyckas på grund av rotsprickor. Patienten kan ha en rad olika symtom, allt från lätt ömhet till svullnad och värk. Vanliga fynd är ömhet vid påbitning men även vid perkussion och palpation. Fistelbildning förekommer ofta och blir vanligare när spickan etablerats och vidgats.
Rotsprickor i rotfyllda tänder förekommer med en frekvens mellan 4% - 32%. Sprickorna noteras oftast en tid efter att behandlingen utförts, i medeltal efter ca 5 år. Molarer i underkäken och premolarer i överkäken är de tänder som oftast drabbas.
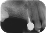
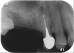
På röntgen ser man vanligen en vidgad rothinna runt roten som sträcker sig upp mot mer än halva rothöjden. För bättre diagnostik kan 2 röntgenprojektioner vara av nytta. CBCT är sällan indicerat då risken för falskt positiva fynd är hög. Det beror på att rotfyllningsmaterial och pelare ger artefakter i bilden som kan tolkas som rotspricka.
Sprickan börjar vanligen marginalt, men kan också börja apikalt (se bild 1 och 2) eller i mer ovanliga fall mitt på roten. Startar sprickan marginalt uppstår ofta en lokal djup tandköttsficka. Börjar sprickan längre apikalt kan den vara svårare att diagnostisera kliniskt och i dessa fall ger röntgen sällan någon information om diagnosen.


Tänder med stift har en tendens att frakturera oftare, men även tänder utan stift kan frakturera. En rotfylld tand som läkt apikalt, men där problem uppkommer efter några år väcker ofta misstanken om rotspricka.