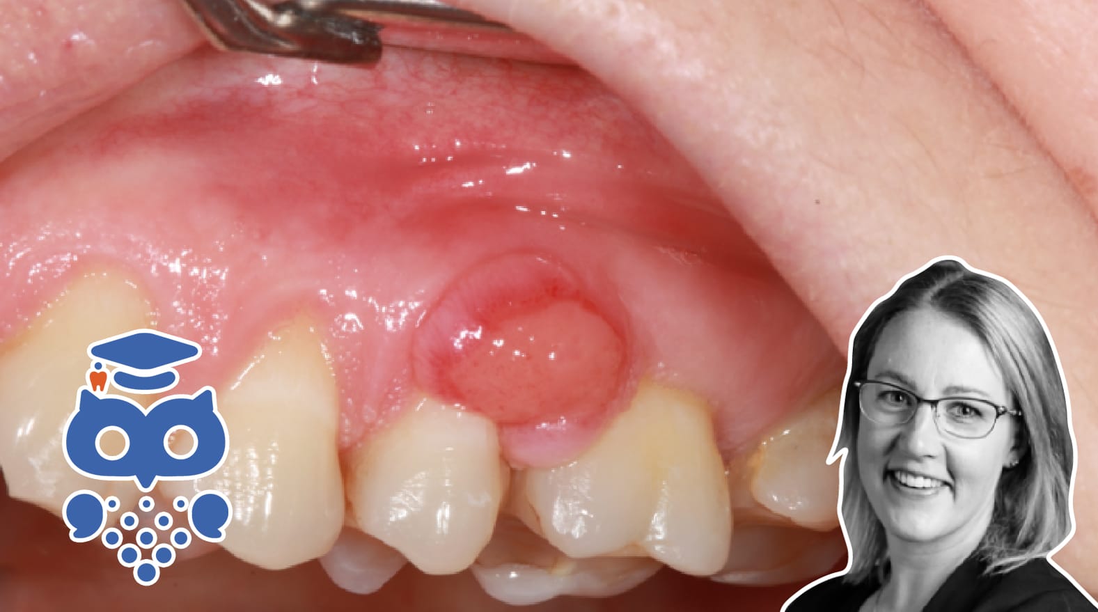
Biopsitagning i munhålan
Ett vävnadsprov tas vid oklara diagnoser, misstanke om malignitet eller behov av histopatologisk analys. Biopsin bör tas från representativt område och hanteras korrekt för att undvika skador. PAD-svar måste korreleras med klinisk bild för säker diagnos och uppföljning.
Faktabladets innehåll
När ska man ta ett vävnadsprov?
- När de anamnestiska uppgifterna och den kliniska och radiologiska bilden inte är tillräckliga för att ställa en definitiv diagnos
- När det finns misstanke om att förändringen kan vara ett malignt eller ett potentiellt malignt sjukdomstillstånd
- När den histopatologiska diagnosen är nödvändig för att veta hur du ska behandla eller följa upp patienten
