Skapa konto

Orofacial granulomatos (OFG) – läpp/ansiktssvullnad

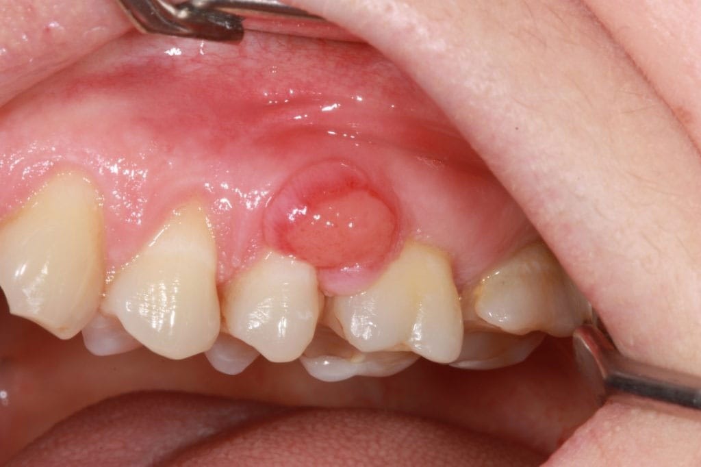
Orofacial granulomatos (OFG) är en granulomatös sjukdom som ofta ger läppsvullnad, gingivala hyperplasier och perioralt erytem. Orsaken är okänd men kan kopplas till överkänslighet mot kanel, bensoater och Crohns sjukdom. Behandling inkluderar kostrestriktion, kortisonsköljning och infektionsterapi

Faktabladets innehåll

    BAKGRUND

    Orofacial granulomatos (OFG) är ett granulomatöst sjukdomstillstånd som framför allt drabbar barn och ungdomar, men kan även ses hos vuxna. Med granulom avses ett infiltrat av inflammationsceller där man bland annat kan se makrofager som smält samman till jätteceller. Granulombildningen i sig är ett ospecifikt tillstånd som kan ses vid flera olika tillstånd såsom sarkoidos, orofacial granulomatos, infektioner och vid främmandekropp-reaktioner.

    Det finns en koppling mellan OFG och Crohns sjukdom, som är en kronisk tarmsjukdom där inflammation kan uppstå var som helst i mag-tarmkanalen. Denna association har varit känd i många år, men exakt hur sambandet ser ut är ännu okänt. Terminologin kan vara förvirrande då OFG ibland anses vara en del av Crohns sjukdom och då ofta benämns som oral Crohns sjukdom. Begreppet OFG beskrevs första gången 1985 av Wiesenfeld. Dessförinnan beskrevs granulomatösa förändringar i munslemhinnan, bland annat som Melkersson-Rosenthals syndrom och Miescher’s cheilit.

    Prevalens

    I Sverige är OFG mycket ovanligt och några exakta prevalenssiffror finns inte. Uppskattningsvis handlar det om en prevalens på mindre än 0,1 %. I studier från Storbritannien har prevalensen angivits så hög som 0,8 % och framför allt är prevalensen hög i den keltiska populationen. I Sverige är OFG vanligare hos män än hos kvinnor (kvinna:man ratio är 1:4,5) oavsett om de har Crohns sjukdom eller inte. Det är också vanligare med pediatrisk Crohns sjukdom hos pojkar jämfört med flickor (kvinna:man ratio är 1:2,5).

    Etiologi

    Orsaken till OFG är fortfarande okänd. Mest troligt är det en kombination av flera faktorer som orsakar detta tillstånd. Dessa faktorer kan grovt delas in i miljöfaktorer, genetiska, immunologiska och bakteriella faktorer. Miljöfaktorer handlar främst om en fördröjd överkänslighetsreaktion mot vissa födoämnen, främst kanel samt kakao men även konserveringsmedel, och då i första hand bensoater. Bensoater finns naturligt i vissa frukter och bär, framförallt i lingon och tranbär. Även allergi mot gräs, björk och nötter är vanligare hos patienter med OFG än hos friska individer. Genetiskt finns inget fastställt samband hos patienter med endast OFG. Patienter med OFG i kombination med Crohns sjukdom verkar i högre grad ha en genetisk variation i NOD2 jämfört med patienter som bara har Crohns sjukdom. NOD2 är den genavvikelse som är starkast kopplad till Crohns sjukdom. Immunologiskt har man kunnat se en stor mängd T-celler, framför allt CD4-positiva T-celler, och mastceller i biopsier från patienter med OFG. En förändring i den normala bakteriefloran kan ses i viss utsträckning hos OFG-patienter. Bland annat har en del av dessa patienter en ökad nivå av serumantikroppar mot Saccharomyces cerevisiae.

    Vi har digitala kurser inom Orofacial medicin

    Se kursen på Tandakademin!

    KLINISK BILD