Ortodontisk distalisering i kombination med tandstödd bro
Ortodontisk distalisering inför broterapi är en ovanlig men effektiv metod för att skapa stabila brostöd. Den har små risker och bättre prognos än extensionsbroar. Kliniska studier visar goda resultat, och samarbete mellan ortodontister och protetiker är avgörande.
Faktabladets innehåll
BAKGRUND
Tandvårdsriktlinjer enligt socialstyrelsen
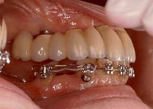
Att ortodontiskt distalföra en tand för att sedan använda tanden som brostöd är ingen vanlig terapi. Oftare väljs en lösning med implantat, en tandstödd extensionsbro eller en partialprotes. Eftersom riskerna är små och prognosen god kan ortodontisk distalisering vara ett utmärkt terapival i specifika fall. Ett exempel kan ses i fig 1.


Fig 1 a-b


Fig 1 c-d (Bilder ortodontist Mats Larsson)
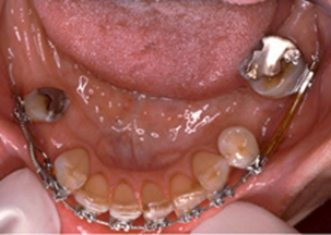
I Fig 2 ses ett djupt bett med multipla agenesier. Man ser en begynnande bettkollaps. Överkäksfronten har buckaltippat, överkäkens molarer som saknar antagonister har övererupterat och bettet djupnar alltmer. Behandlingsmålen i det här fallet var att häva det djupa bettet, skapa stabila stödzoner och en frontal avstödning och styra platsöverskottet för tandersättningar i sidopartierna.
Här gjordes distalföring av premolarer i underkäken med miniimplantat som förankring. 45 och 34 distalflyttades 6-7mm och goda ocklusionskontakter skapades mot överkäks-6:orna. I det här fallet var terapivalet implantat som tandersättningar, men principen är densamma som när tänder distalförs inför tandstödda broar.