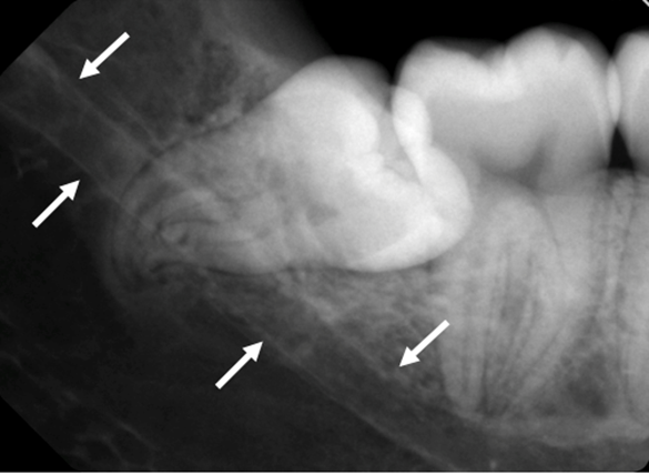
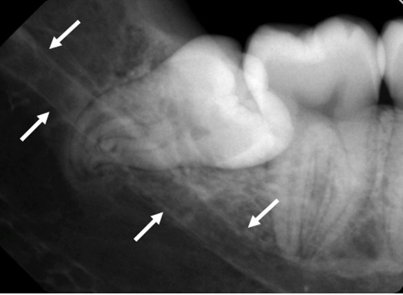
Lägesbestämning – mandibularkanalens relation till tredje molaren
Mandibularkanalen och dess förhållande till intilliggande strukturer är viktigt vid tandvård och kirurgi. CBCT ger detaljerad bedömning vid osäkerhet med vanliga röntgenbilder eller panorama.
Faktabladets innehåll
BAKGRUND
Lägesbestämning av objekt eller strukturer kan vara nödvändigt i olika tandvårdssituationer, exempelvis förhållandet mellan mandibularkanalen och den tredje molar i underkäken, eller placering av icke erupterade hörntänder, mest frekvent i överkäken. Även patologiska förändringar kan ibland behövas placeras korrekt i förhållande till andra strukturer (1). Detsamma gäller för utredning av en eventuell främmande kropp eller rotrester (2).
Mandibularkanalen (Figur 1) är lokaliserad i corpus mandibulae och sträcker sig fram till foramen mentale (3). Relationen mellan mandibularkanalen och rötterna på underkäkens tänder varierar. Det kan finnas allt ifrån en nära relation till ingen kontakt alls (4).
